
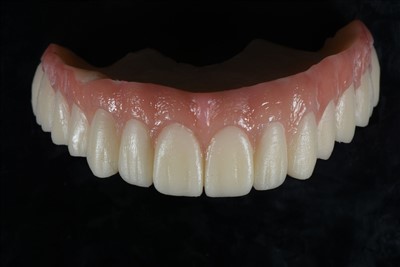
Feldspatik shponlar nima?
Mineral dala shpatidan tayyorlangan dala shponlari an'anaviy stomatologiyada mashhur tanlovdir. Ushbu material mayda kukunga aylantiriladi va malakali xitoylik stomatologlar tomonidan shishaga o'xshash keramika yasaladi. Dala shpati qatronining yupqa qatlamlaridan foydalangan holda, har bir qoplama sertifikatlangan stomatolog tomonidan qo'lda ishlangan, mukammal pishiriladi va shaffof va tabiiy ko'rinishga erishish uchun konturlanadi. Ushbu qoplamalar yuqori sifatli stomatologiya laboratoriyalarining, xususan, Xitoyning ADS stomatologiya laboratoriyasining o'ziga xos belgisidir.
Feldspatik qoplamalar tishlarning ko'rinishini yaxshilash uchun eng yaxshi tanlovdir. Sertifikatlangan Shenzhen ADS stomatologiya laboratoriyalarida ishlab chiqarilgan ushbu qoplamalar ko'plab afzalliklarga ega:

01
Tabiiy ko'rinish
Feldspatik shponlar sizning tabiiy tishlaringiz bilan mukammal aralashish uchun maxsus tayyorlangan bo'lib, jonli tabassumni ta'minlaydi. Ularning shaffofligi tabiiy emalning ko'rinishini taqlid qiladi, bu ularni deyarli aniqlanmaydi.
02
Minimal tish tayyorlash
E-max shponlardan farqli o'laroq, feldspatik qoplamalar tishlarning tabiiy tuzilishini saqlab qolgan holda emalni olib tashlashni talab qilmaydi. Tayyor bo'lmagan tish qoplamalari bizning Xitoy stomatologiya laboratoriyamiz tomonidan taqdim etilgan asosiy xususiyatdir.
03
Chidamlilik
Feldispatik qoplamalar nozik ({0}},3 mm) bo'lsa-da, to'g'ri yopishtirilganda 10 yilgacha yoki undan ko'proq vaqt xizmat qilishi mumkin.
04
Iqtisodiy samaradorlik
Xitoydagi ADS stomatologiya laboratoriyasi dala patologik qoplamalarni o'rtacha narxlarda sotib olishni ta'minlaydi, bu esa yuqori darajadagi stomatologik yechimlarni hamma uchun ochiq qiladi.
Feldspatik qoplamalar kimga mos keladi?

Tayyor bo'lmagan shponlarga muhtoj bo'lgan bemorlar.
Emalining katta qismi buzilmagan tishlar.
Noto'g'ri bo'shliqlar, rang o'zgarishi yoki engil deformatsiyalar kabi kichik nuqsonlar.
Yuqori estetik talablarga ega bo'lgan shaxslar.
Nega bizni tanlaysiz?
Biz biznesimizni kengaytirish uchun kooperativ hamkor izlayapmiz.
Global logistika yechimlari
FedEx, UPS, DHL va LINEX bilan hamkorligimiz butun dunyo bo'ylab tez va xavfsiz yetkazib berish imkonini beradi.
Shenzhen stomatologiya laboratoriyasi ekspertizasi
Biz Xitoyda 400 dan ortiq sertifikatlangan stomatologlarga ega bo'lgan shponlar va boshqa yuqori darajadagi stomatologik yechimlarga ixtisoslashgan birinchi stomatologiya laboratoriyamiz. Bizning jamoamiz an'anaviy va ilg'or stomatologiya texnologiyalarida o'n yillik tajribaga ega.
Maxsus mijozlarni qo‘llab-quvvatlash
40 dan ortiq oʻqitilgan vakillar uzluksiz muloqot va 363-kunlik onlayn yordam koʻrsatadi.
Tez aylanish vaqtlari
Oddiy ish, jumladan, logistika, atigi 7 kun ichida bajarilishi mumkin.
Keng qamrovli kafolat
Bizning barcha feldspatik qoplamalarimiz uzoq muddatli kafolatga ega bo'lib, Xitoyda yuqori sifatli stomatologik laboratoriya standartlariga sodiqligimizni aks ettiradi.
Sertifikatlangan stomatologik mahsulotlar
Bizning qoplamalarimiz xavfsizlik, ishonchlilik va yuqori darajadagi ishlashni ta'minlaydigan Idoralar, FDA va ISO kabi xalqaro sertifikatlarga javob beradi.
Tez-tez so'raladigan savollar
Xitoyning ADS stomatologiya laboratoriyamizda biz yuqori sifatli stomatologik laboratoriya yechimlarini taqdim etish uchun zamonaviy hunarmandchilikni an'anaviy stomatologiya texnologiyasi bilan birlashtiramiz. O'rtacha narxlardagi stomatologik laboratoriya xizmatlari uchun bugun biz bilan bog'laning va Shenzhenning eng yaxshi shponli stomatologiya laboratoriyasining mukammalligini his eting.
E-max shponlari va Feldspatik shponlar o'rtasidagi farq nima?
+
-
Litiy disilikatdan tayyorlangan E-Max qoplamalari mustahkamligi va chidamliligi bilan mashhur. Biroq, Shenzhen stomatologiya laboratoriyalarida tayyorlangan dala patik qoplamalari shakli va rangini ko'proq moslashtirishga imkon beradi. Ular ko'pincha tabiiy, shaxsiy ko'rinishga erishish uchun afzallik beriladi.
Feldspatik qoplamalar qanchalik nozik?
+
-
Feldspatik qoplamalar 0,3 mm gacha yupqa bo'lishi mumkin, bu esa tishlarni minimal tayyorlashni talab qiladi.
Does dala patologikshponlar tish tayyorlashni talab qiladimi?
+
-
Juda yupqa feldspatik shponlar tishlarni ozgina tayyorlash bilan yaratilishi mumkin.
Ular tabiiy tishlarga o'xshaydimi?
+
-
Ha, feldspatik qoplamalar tabiiy tishlaringizning rangi, o'lchami va shaklini takrorlash uchun puxta ishlab chiqilgan bo'lib, benuqson va organik ko'rinishdagi tabassumni yaratadi.
Ular qancha davom etadi?
+
-
To'g'ri g'amxo'rlik bilan feldspatik qoplamalar o'nlab yillar davom etishi mumkin. Muntazam ravishda cho'tkalash, iplarni yuvish va qattiq ovqatlardan voz kechish ularning uzoq umr ko'rishini ta'minlaydi.
Issiq teglar: feldspatik shponlar, Xitoyning feldispatik qoplamalar ishlab chiqaruvchilari, etkazib beruvchilari, zavodi
